NUHS Institutions will NEVER ask you to transfer money or disclose bank details over a call.
If in doubt, call the 24/7 ScamShield helpline at 1799, or visit the ScamShield website at www.scamshield.gov.sg.
Acute Coronary Syndrome is an umbrella term for any condition brought on when blood flow to the heart muscle is reduced suddenly.
The symptoms are similar to that experienced during a heart attack. It is important to treat it as soon as possible. You should seek emergency help right away if you experience the following symptoms and think you might be having a heart attack.
The doctor will take your medical history and give you a physical examination. If the doctor suspects Acute Coronary Syndrome, the following tests will usually be performed:
Additional tests may be ordered by the doctor to further examine the condition of your heart.
An electrocardiogram (ECG or EKG) is a non-invasive test that measures the electrical activity of the heartbeats. An electrical impulse travels through the heart with each beat. This impulse causes the heart muscle to squeeze and pump blood. An electrocardiographic machine detects these impulses and records them in the form of waves.
This test allows the doctors to evaluate the regularity of the patient's heart rhythm or detect any abnormality.
Why is it done?
An ECG gives two major kinds of information. First, by measuring time intervals on the ECG, a doctor can determine how long the electrical wave takes to pass through the heart. Finding out how long a wave takes to travel from one part of the heart to the next shows if the electrical activity is normal or slow, fast or irregular. Second, by measuring the amount of electrical activity passing through the heart muscle, a cardiologist may be able to find out if parts of the heart are too large or are overworked.
Does it hurt?
No. There’s no pain or risk associated with having an electrocardiogram. When the ECG stickers are removed, there may be some minor discomfort.

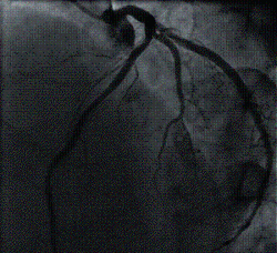
Coronary Angiography is a procedure to visualise the coronary arteries. The coronary arteries are the blood vessels that supply blood to the heart muscles. On ordinary chest X-ray films, the heart appears as a silhouette and the coronary arteries cannot be seen. To see the coronary arteries, a special dye or contrast medium is injected through a small tube (catheter) inserted into a large artery in the groin or the wrist. The catheter is then advanced to the heart and positioned at the mouths of the coronary arteries before injection is performed.
Coronary Angiography is therefore an invasive procedure. Sometimes, another procedure called a left ventriculography is performed at the same session, whereby a catheter is advanced into the left ventricle (the lower and larger heart chamber) and contrast medium is injected. This allows visualisation of the left ventricle and its contractions.
What is the purpose of this test?

In some people, the coronary arteries become narrowed, usually by a process called atherosclerosis in which cholesterol and other substances are deposited in the arterial wall. With progressive narrowing, the blood supply to the heart muscle gradually decreases, and eventually becomes insufficient to supply its needs. This usually results in chest pain (angina pectoris) during exertion or stress, but may also manifest as breathlessness, irregular heart rhythm or fatigue. When a blood vessel suddenly occludes completely, a full-blown heart attack occurs. Coronary artery disease is a common disease and a major killer in Singapore.
Coronary Angiography is carried out to determine whether there is any significant narrowing or blockage in the coronary arteries. Once determined, the doctor will decide on the best form of treatment.
It is also performed before Coronary Angioplasty (ballooning) is carried out to provide a 'road map' for guiding the Angioplasty procedure.

What to expect?
The procedure may be performed on an outpatient basis, or you may be admitted overnight.
Before the procedure:
On the day of the procedure:
After the procedure:
What to prepare?
What are the potential risks or complications?
Coronary Angiography is one of the safest invasive procedures. There is a small risk of injury and complications with regards to this procedure. The most common complications are minor bleeding, swelling and bruising from the puncture site, and an allergic reaction to the contrast medium. There is a very small risk (0.1%) of a heart attack or stroke occurring during the procedure, and an even smaller risk (less than 0.1%) of major life-threatening complications.
Home care
Treatment for Acute Coronary Syndrome varies. It ranges from medications to surgery methods to restore blood flow through your heart.
Medications can help to relieve chest pain and improve blood flow. Some medications your doctor could prescribe to you are aspirins, beta-blockers, cholesterol-lowering drugs etc. Procedures like angioplasty and stenting could also be recommended. Depending on the severity, the doctor could also recommend coronary bypass surgery.
Coronary artery narrowing may be treated using either medications that reduce the heart's demand for blood, or by procedures aimed at increasing the heart's blood supply. One of the two most common methods to increase the blood supply is Coronary Angioplasty, sometimes abbreviated as PTCA (Percutaneous Translunimal Coronary Angioplasty).
PTCA offers a non-surgical alternative to Coronary Artery Bypass Surgery.
In PTCA, a balloon mounted on a thin tube (a catheter) is advanced into your coronary artery until it lies within the narrow area. The balloon is then inflated at high pressure, often a few times, to dilate the narrowing. Upon balloon deflation, the arterial narrowing is often significantly reduced.

A sample of a stent
A stent is a small metal coil used to provide support to the narrowed segment of the coronary artery after angioplasty, preventing the artery from collapsing and reducing the likelihood of the narrowing recurring. Modern stents are made of stainless steel or a cobalt chromium alloy and are inert. Some stents also have a coating of medication and may be preferred in certain situations to further reduce the chance of repeat narrowing of the heart arteries. Nowadays, stents are frequently placed directly over the narrowed segments (direct stenting) without prior balloon dilatation.
What to expect?
Before going through a PTCA, a coronary angiogram is done first to provide a 'roadmap'. Undergoing PTCA is also very similar to having a coronary angiogram procedure.
Click here to access our Find A Doctor directory for a list of doctors treating this condition across our NUHS institutions.